В Тюменской области врачи впервые провели уникальную операцию на почке
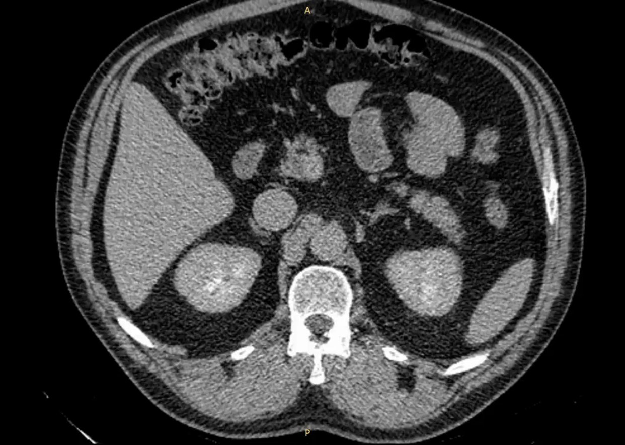
Мужчину 52 лет беспокоила киста в почке: она давала боли в пояснице и постоянно росла. Это вызывало нарушение оттока мочи и риск ухудшения работы органа.
Удалить кисту было нельзя, так как она находилась внутри почки. Хирургическое вмешательство могло привести к потере органа.
Тогда урологи из МСЧ «Нефтяник» решили провести операцию, которая минимально травмирует сосуды почки. Для этого они изучали КТ-снимки и архитектонику органа.
Благодаря профессионализму наших медиков работу почки восстановили. Сразу после операции пациент почувствовал облегчение, а на вторые сутки уже вернулся домой.
— за профессионализм тюменских врачей!
Фото: Департамент здравоохранения Тюменской области
#Тюмень@my_tyumen
Будьте в курсе актуальных новостей и событий в нашем канале МАХ










































