Впервые в Тюменской области успешно проведена уникальная хирургическая операция
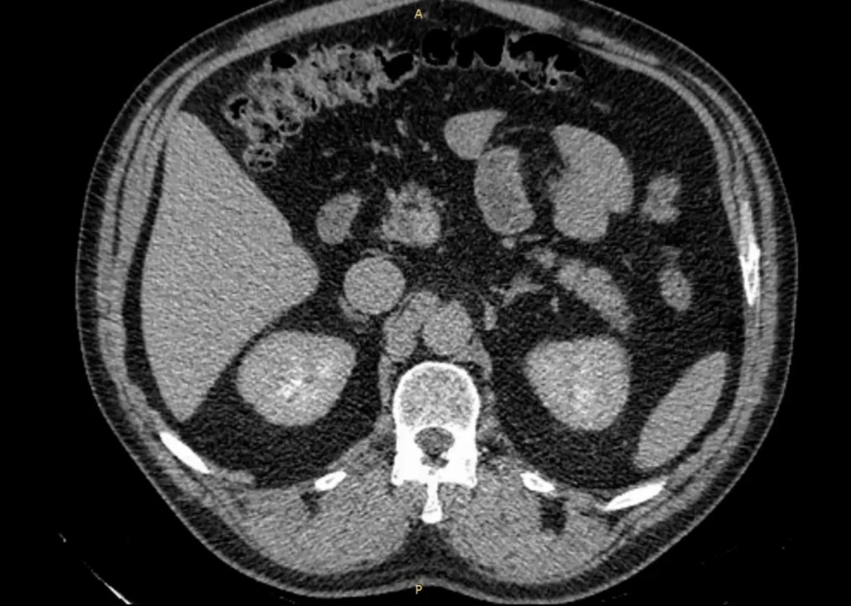
Мужчина 52 лет наблюдался в поликлинике с доброкачественным новообразованием в почке. Его беспокоили периодические боли в пояснице слева. Ранее выявленная киста почки росла, вызывая нарушение оттока мочи и угрозу снижения функции почки.
Хирургическое удаление кисты в данном случае было невозможно из-за расположения кисты внутри почки. Вмешательство могло привести к потере органа.
Урологи МСЧ "Нефтяник" приняли решение помочь пациенту, выполнив уникальную операцию на почке, описанную и продемонстрированную членом-корреспондентом РАН, профессором А.Г. Мартовым.
Врач-уролог, заведующий отделением урологии №2 клиники "Нефтяник" Владимир Новоселов: "Суть метода заключается в создании сообщения между полостью кисты и чашечно-лоханочной системой почки. Мы изучали КТ-снимки, архитектонику почки, чтобы свести к минимуму определенные риски травмирования сосудов почки. Операция прошла в штатном режиме".
Благодаря профессионализму тюменских медиков функция почки восстановлена, пациент чувствует значительное облегчение симптомов, на вторые сутки выписан и вернулся домой.
Департамент здравоохранения Тюменской области.
Подписывайтесь на Информационный центр Правительства Тюменской области | Читайте нас в MAX











































